Bilek Çatlağı: Belirtileri, Tedavisi ve İyileşme Süreci

Benzer ürünleri özellik, fiyat ve kullanıcı yorumlarına göre karşılaştırın, doğru seçimi yapın.
Bilek çatlağı, kemiklerde oluşan mikro çatlaklar veya küçük kırıklar olarak tanımlanabilir ve genellikle ani travmalar sonucu meydana gelir. Bu yaralanma, özellikle sporcular, yaşlılar ve aktif yaşam tarzına sahip bireyler arasında sıkça görülür. Peki, bilek çatlağını diğer bilek yaralanmalarından ayıran temel özellikler nelerdir ve bu durumda nasıl bir tedavi süreci izlenmelidir? İşte detaylar.
Bilek Çatlağının Belirtileri
Bilek çatlağının tanınması, uygun tedaviye başlamanın ilk adımıdır. İşte en sık görülen belirtiler:
Ayrıca Bakınız
Fiziksel Belirtiler
Ağrı: Travma sonrası hemen veya birkaç saat içinde bilekte yoğun ve lokalize ağrı hissedilir.
Şişlik: Etkilenen bölgede belirgin şişlik oluşur ve zamanla artabilir.
Morarma ve Kızarıklık: Kanama ve damar hasarı nedeniyle cilt altında morarma veya kızarıklık görülebilir.
Hareket Güçlüğü: Bileğin hareket ettirilmesiyle artan ağrı ve kısıtlı hareket kabiliyeti yaşanır.
Deformite: Şiddetli çatlak durumunda kemik yapısında belirgin şekil bozukluğu veya yer değişimi gözlemlenebilir.
Diğer Belirtiler
Güç Kaybı: Bilekte güç kaybı, nesneleri kavrama veya taşıma sırasında zorluk yaratır.
Hassasiyet: En ufak bir dokunuşta bile acı hissi artar.
Bilek Çatlağını Anlama ve Tanı
Çatlak genellikle düşme, çarpma veya ani hareketler sonucu oluşur. Bu durumda, ilk dikkat edilmesi gerekenler arasında şişlik, ağrı ve hareket kısıtlılığı yer alır. Ayrıca, deformite veya şekil bozukluğu fark edilirse, bu durum ciddi bir çatlak veya kırık olabileceğine işaret eder.
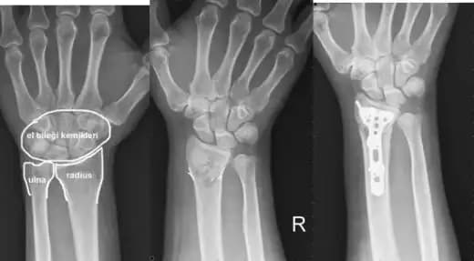
Tanı koymada en etkili yöntemler arasında röntgen ve bazen MRI yer alır. Bu görüntüleme teknikleri, kemik yapısındaki mikro çatlakları ve kırıkların boyutunu net bir biçimde gösterir.
Tedavi Yöntemleri ve İyileşme Süresi
Hafif Çatlaklar ve Evde Müdahale
İstirahat: Ağrı ve şişliği azaltmak için ilk yapılması gereken, hareketi sınırlandırmaktır.
Buz Uygulaması: Şişlik ve ağrıyı hafifletmek adına buz torbası kullanılabilir.
Destekleyici Bileklik: Bileği sabit tutmak ve hareketi kısıtlamak için kullanılır.
Ağrı Kesiciler: Doktor önerisiyle kullanılabilir.
Ciddi Durumlarda
Alçı veya Atel: Kemiklerin düzgün hizalanması ve iyileşme sürecinin hızlandırılması için tercih edilir.
Cerrahi Müdahale: Çok ciddi çatlaklarda veya kemik kayması durumunda gerekebilir. Bu durumda, kemik parçaları uygun pozisyonda sabitlenir.
İyileşme Süresi
Çatlağın boyutuna ve yerine göre iyileşme süresi değişiklik gösterir:
Küçük çatlaklar: 4-6 hafta arasında iyileşebilir.
Daha ciddi çatlaklar: 8 haftadan uzun sürebilir.
İyileşme sonrası: Fizik tedavi ve rehabilitasyon süreciyle hareket kabiliyeti yeniden kazanılır.
İyileşme Sürecinde Dikkat Edilmesi Gerekenler
Düzenli Kontrol: Doktor kontrolleriyle iyileşme durumu takip edilmelidir.
Ağır Yükten Kaçınma: Kemik tam olarak iyileşmeden ağır yükler veya zorlayıcı hareketler yapılmamalıdır.
Fizik Tedavi: Kas gücünü yeniden kazanmak ve hareket kabiliyetini artırmak için önerilir.
Beslenme: Kalsiyum ve D vitamini açısından zengin besinler tüketerek kemik sağlığı desteklenmelidir.
Kozmetik ve Estetik Perspektiften Bilek Çatlağı
Bilek çatlağı ciddi bir travma olmakla birlikte, tedavi sürecinde estetik kaygılar da göz önünde bulundurulmalıdır. Özellikle alçı veya cerrahi sonrası oluşabilecek izler veya şişlikler, estetik açıdan çeşitli kaygılar doğurabilir. Bu noktada, düzenli cilt bakımı, nemlendirme ve gerekirse estetik müdahaleler ile iyileşme süreciniz daha konforlu hale getirilebilir. Ayrıca, alçı veya bandaj kullanımı sırasında ciltte oluşabilecek tahriş ve kuruluk için uygun kozmetik ürünler kullanmak, cilt sağlığını korumaya yardımcı olur.
Son Söz: Bilek Çatlağında Erken Müdahale ve Doğru Yaklaşımın Önemi
Bilek çatlağı, uygun tanı ve zamanında müdahale ile iyileşme süresi kısaltılabilir ve komplikasyonlar önlenebilir. Ağrı, şişlik ve hareket kısıtlılığı gibi belirtileri gördüğünüzde, erken bir sağlık kuruluşuna başvurmak en doğru adım olacaktır. Ayrıca, iyileşme sürecinde düzenli egzersiz ve doğru beslenme ile eski sağlığınıza ulaşmanız mümkündür.
Unutmayın, her ne kadar kozmetik açıdan bakılında estetik kaygılar önemli olsa da, sağlığınız ve kemik yapınızın güçlenmesi, uzun vadeli güzellik ve sağlık için temel unsurlardır. Kemik sağlığınıza dikkat ederek, aktif ve estetik açıdan kendinden emin bir yaşam sürdürebilirsiniz.