Tarak Kemiği Kırığı: Nedenleri, Belirtileri ve Tedavi Yöntemleri
Benzer ürünleri özellik, fiyat ve kullanıcı yorumlarına göre karşılaştırın, doğru seçimi yapın.
Giriş: Tarak Kemiği Kırığı Nedir?
Tarak kemiği kırığı, ayakta bulunan beş adet ince ve uzun kemikten oluşan metatars kemiklerinden birinin ya da birkaçının kırılması durumudur. Bu kırık türü, özellikle aktif yaşam süren bireylerde sıkça görülür ve doğru müdahale edilmediğinde yürüyüş ve denge problemlerine yol açabilir. Ayak sağlığının korunması ve estetik görünümün devamı için tarak kemiği kırıklarının erken teşhisi ve uygun tedavisi büyük önem taşır.
Ayrıca Bakınız
Tarak Kemiği Kırığının Nedenleri
Tarak kemiği kırıkları çeşitli sebeplerle ortaya çıkabilir. Bunlar arasında:
Travmatik Yaralanmalar: Düşme, ağır bir cismin ayağa düşmesi veya spor sırasında yaşanan kazalar en yaygın nedenlerdir.
Tekrarlayan Stres: Özellikle koşucular ve dansçılar gibi ayaklarına sürekli yük bindiren sporcular, mikro kırıklar yaşayabilir.
Kemik Sağlığı Problemleri: Osteoporoz gibi kemik yoğunluğunu azaltan hastalıklar tarak kemiği kırıklarına zemin hazırlayabilir.
Bu nedenler, hem günlük yaşamı etkileyebilir hem de estetik açıdan rahatsızlık yaratabilir.
Belirtiler ve Tanı Yöntemleri
Tarak kemiği kırığı belirtileri genellikle şunları içerir:
Şiddetli Ağrı: Ayağın üst kısmında ve özellikle kırık bölgesinde ani ve keskin ağrı hissedilir.
Şişlik ve Morarma: Kırık bölgesinde belirgin şişlik ve renk değişikliği gözlemlenebilir.
Hareket Kısıtlılığı: Ayağın kullanımı zorlaşır, basmak ağrılı hale gelir.
Tanı için en sık kullanılan yöntemler ise:
Fizik Muayene: Doktor, ağrılı bölgeyi inceler ve hareket kısıtlılığını değerlendirir.
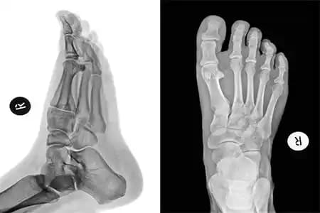
Röntgen: Kemiğin durumunu net görmek için temel görüntüleme yöntemidir.
Bilgisayarlı Tomografi (BT) ve Manyetik Rezonans Görüntüleme (MRG): Daha karmaşık kırıklarda detaylı inceleme sağlar.
Tedavi Yöntemleri
Tarak kemiği kırıklarında tedavi, kırığın tipi ve şiddetine göre değişiklik gösterir:
İstirahat ve Buz Uygulaması: İlk müdahalede ağrıyı azaltmak ve şişliği önlemek için önemlidir.
Alçı veya Atel Kullanımı: Kırığın yerine ve stabilitesine bağlı olarak, hareketi sınırlayan destekler tercih edilir.
Cerrahi Müdahale: Kırık parçalarının yer değiştirdiği durumlarda vida veya plaka ile sabitleme gerekebilir.
Tedavi süreci boyunca doktor kontrolü kritik olup, iyileşmenin takibi için düzenli kontroller şarttır.
Kendine Bakım ve İyileşme Süreci
İyileşme sürecinde kişisel bakım ve doğru alışkanlıklar önemli rol oynar:
Ayak Bakımı: Temiz ve kuru tutmak enfeksiyon riskini azaltır.
Uygun Ayakkabı Seçimi: Destekleyici ve rahat ayakkabılar kullanmak iyileşmeyi hızlandırır.
Fizik Tedavi: Kas gücünü ve esnekliği artırmak için önerilir.
Beslenme: Kalsiyum ve D vitamini açısından zengin besinler kemik iyileşmesini destekler.
Sonuç ve Öneriler
Tarak kemiği kırığı, ciddi bir durum olmasına rağmen uygun tedavi ve bakım ile tamamen iyileştirilebilir. Erken müdahale, yaşam kalitesinin korunması açısından çok önemlidir. Ayak sağlığını korumak için ani hareketlerden kaçınmak, düzenli egzersiz yapmak ve uygun ayakkabı tercih etmek faydalıdır. Unutulmamalıdır ki, sağlıklı kemikler ve ayaklar, genel güzellik ve bakım rutininin temel taşlarındandır.
















